Cabinet dentaire des Drs MULLER, Dr BERNARD et Dr PRUVOST
Chirurgiens-Dentistes à Saintes
ACCUEIL
L'ÉQUIPE
LE CABINET EN IMAGES
ACCÈS
FICHES CONSEILS
VIDÉOS
Cabinet dentaire des Drs MULLER, Dr BERNARD et Dr PRUVOST
Chirurgiens-Dentistes à Saintes
8 place du synode
17100
Saintes
+33 5 46 93 00 62
ACCUEIL
L'ÉQUIPE
LE CABINET EN IMAGES
ACCÈS
FICHES CONSEILS
VIDÉOS
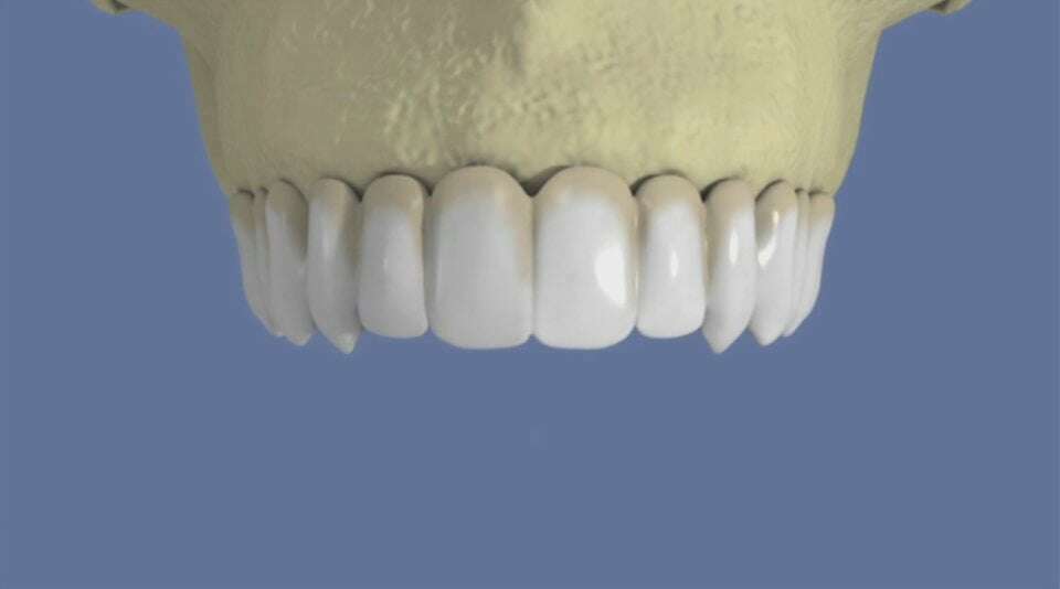
Maxillaire : bridge vissé sans fausse gencive
Vidéos 3D
Partager
Twitter
Partager
Partager
Envoyer
Copier
Cabinet dentaire des Drs MULLER, Dr BERNARD et Dr PRUVOST
8 place du synode
17100
Saintes
+33 5 46 93 00 62
Politique de confidentialité et charte cookie
Mentions légales
Conditions Générales Utilisation
Charte déontologique
Ordre national
Annuaires chirurgiens dentistes
Nos conseils
Recommandation COVID-19
Pose d'implants dentaires
Greffe osseuse intrasinusienne
Le Cone beam
Bien choisir mes prothèses, matériaux et prises en charge
Création par
Connexion